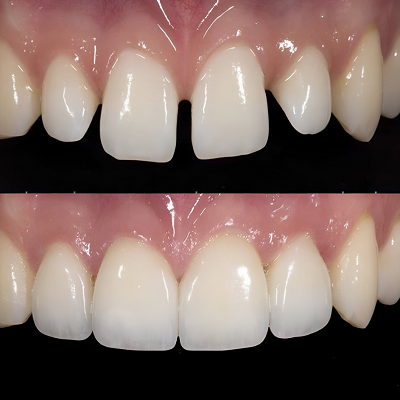
Transform Minor Smile Flaws with Dental Bonding.
A healthy, attractive smile can boost confidence and improve daily interactions. For patients looking for a quick cosmetic fix without complex dental procedures, Dental Bonding in Islamabad
is a highly effective choice. This treatment is widely preferred by individuals in Islamabad who want visible results with minimal time, cost, and discomfort.
https://dentalclinicislamabad.com/dental-bonding/


